全口整合性治療

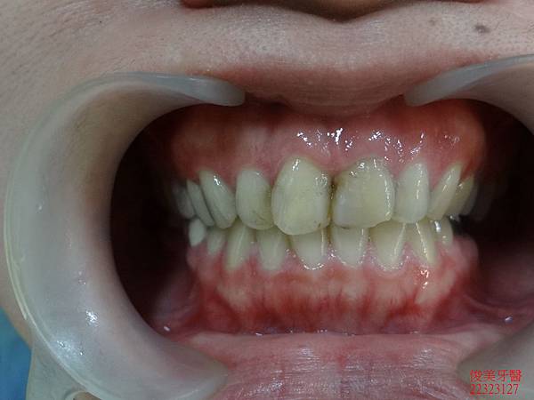
患者年約30歲,女性,於門診時表示,又蛀牙了,經醫師檢查後發現,患者因為缺牙及齒列不整
齊導致牙弓變形、咬合不佳,很多牙縫超會塞東西,且後牙未修復導致前牙牙齒有咬裂的現象,
因此建議患者考慮全口重建,將口內所有的問題分析給患者瞭解,再進行療程。
患者同意了。

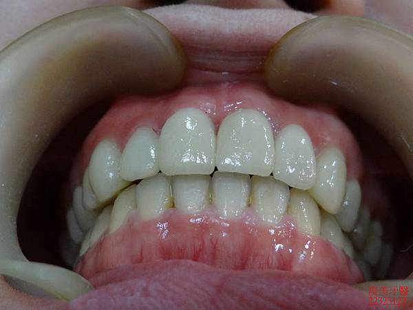
前面狀況。

牙齒排列不整。

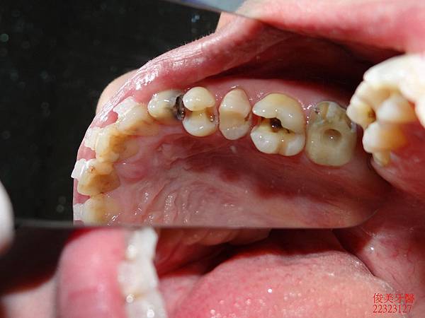
牙縫蛀牙。

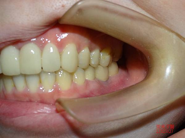
側邊咬合。

上排牙齒已有延長的現象,牙縫更容易塞東西,且沒有咀嚼功能。

蛀牙過多,且深。牙弓形狀已非標準形態。

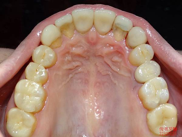
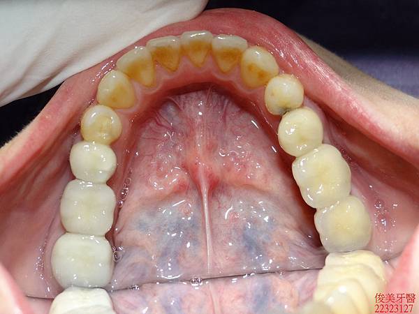
下顎狀況 。

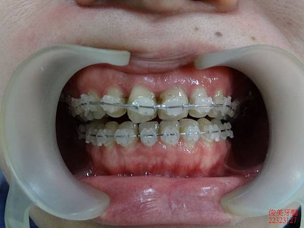
治療中~~~~

將牙齒牙根移到正確的位置。

沒有重疊的現象。

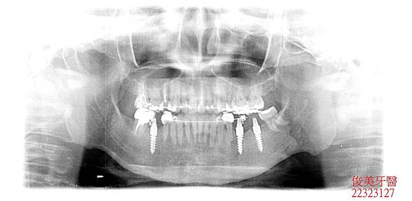
之前已將右側智齒拔除,僅留左側供咀嚼。
在植牙骨整合完成時即將左下智齒拔除。

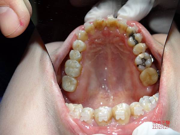
咬合調整完成,開始處理患者的蛀牙。先移除舊的填補物....

裝上新牙齒囉!!

其他的部份也做相同的處理。

最後將前牙的蛀牙及咬裂的部份一併修復,採用全瓷美白貼片一次到位,
兼具美觀及保護牙齒的神經喔!!牙齒也恢復為正常的牙弓形狀。



完美到一個不行........
療程結束後咬合良好。

牙縫不會直接嵌塞食物。
變身為超完美牙齒!!只能狂按"讚"啦~~~~~~~
患者非常滿意治療的效果。目前配戴維持器,定期檢查即可。
預約患者優先看診。
預約專線:04-22323127

