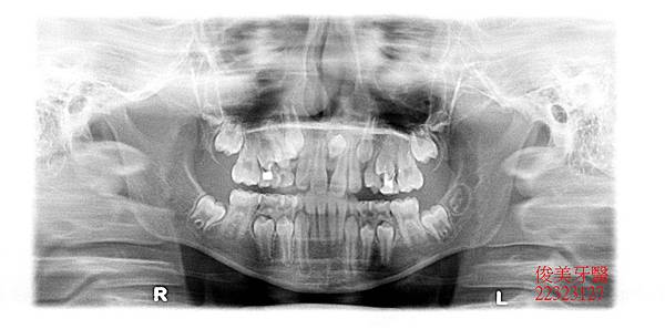
此位患者的咬合狀況為反咬,也就是所謂的戽斗咬合,家長於門診中表示,希望可以改善孩子的狀況。
在醫師的建議下已將門牙中間的多生牙做手術性拔除....並待傷口癒合..
患者戽斗的狀況在小孩子來說, 算是比較中、重度的
但因孩子骨架尚在發育, 有成長空間, 此時將牙齒調整為正常咬合,
才有辦法帶動骨頭生長....
經拍照記錄原始狀況..
患者的上顎犬齒也一直長不出來。
治療中.....患者的犬齒雖已有空間,仍無法萌出...
採雷射處理....無傷口
裝上矯正器導引牙齒生長到正常位置....
家長直呼"太神奇了"....
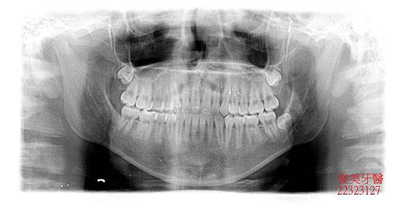
治療接近尾聲....
家長超放心,療程也很配合。
矯正器拆除了,患者非常開心,家長也很滿意,目前配戴維持器,定期檢查即可。
二年後狀況.....
三年後狀況,維持良好。
經上矯正器後,調整咬合...
採用不需做正顎手術,不拔牙方式做調整。
過程中,因咬合改變,患者有一段時間需食用較流質食物。
但是....短暫的不舒適是值得的唷!
家長對矯正進度及改變非常滿意。
矯正結束後的狀況非常良好。
追蹤好幾年,目前下顎及上顎智齒皆已在適當時間拔除.....























