俊美牙醫診所 Chunmei Dental Clinic
    CLOSE
  • 關於俊美
  • 最新消息
    • 回上一頁
    • 文章發表
    • 牙科新知
    • 門診時間異動
  • 治療項目
  • 案例分享
    • 回上一頁
    • 齒顎矯正案例
    • 全口重建案例
    • 智齒拔除案例
    • 晶鑽全瓷貼片案例
    • 全瓷嵌體案例
    • 其他案例
    • 顳顎關節症候群
    • 微創植牙
  • 患者常見Q&A
  • 衛教項目
    • 回上一頁
    • 牙醫說這個習慣錯了
    • 牙齒的功能
    • 服用骨鬆藥品注意副作用
    • 植牙上顎竇補骨術後注意事項:
    • 矯正治療注意事項
    • 埋伏智齒拔牙後須知
  • 預約門診
    • 回上一頁
    • 聯絡我們
  • Copyright © 2019 MIRACLE

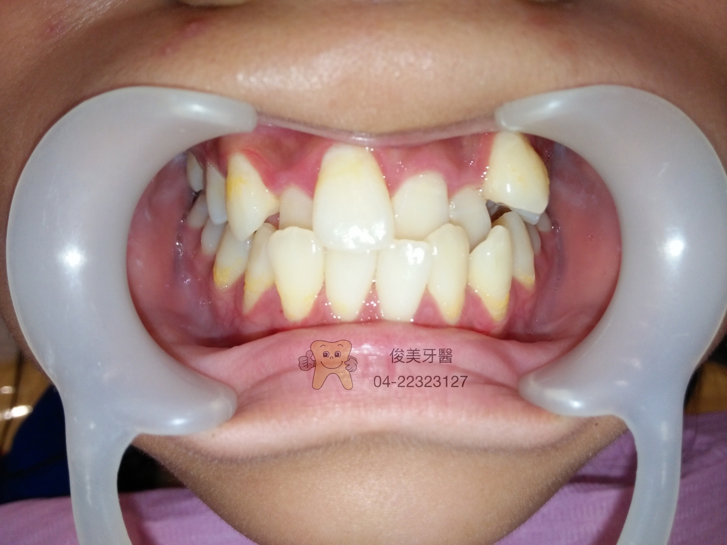
牙齒矯正案例分享11(擁擠、暴牙,免拔除4顆小臼齒)


患者牙醫擁擠,不但不易清潔也不美觀,家長希望能獲得改善,但却不想要拔除好的小臼齒,經醫師評估後,
確認 可以不用拔除4顆小臼齒,做舌側矯正及傳統矯正,但必需將下顎埋伏智齒拔除,以免干擾及阻礙牙齒的
移動。
家長聽到不用將好的小臼齒拔除,非常高興,同意療程。



患者原始狀況。牙齒重疊,牙齦有點紅腫,牙齒頸部刷不乾淨。
重疊的牙齒縫裡有蛀牙 。


經過一年半的治療,結果讓家長滿意,不但牙齒排整齊了,好清潔,也好咀嚼食物,
不再阻礙孩子展露充滿自信的笑容。
牙齦紅腫的現象也明顯改善不少。
目前配戴維持器,定期回診即可。
回上層

俊美牙醫

地址:台中市北區太原路三段78號
電話:04-22323127
GOOGLE 地圖
歡迎追蹤我們、與我們聯繫,很高興為您服務
粉絲團

FACEBOOK

 
 
Designed by 米洛網頁設計
本站是採用全世界最先進的SSL 256bit 傳輸加密機制
本站是採用SSL 256bit 傳輸加密機制