俊美牙醫診所 Chunmei Dental Clinic
    CLOSE
  • 關於俊美
  • 最新消息
    • 回上一頁
    • 文章發表
    • 牙科新知
    • 門診時間異動
  • 治療項目
  • 案例分享
    • 回上一頁
    • 齒顎矯正案例
    • 全口重建案例
    • 智齒拔除案例
    • 晶鑽全瓷貼片案例
    • 全瓷嵌體案例
    • 其他案例
    • 顳顎關節症候群
    • 微創植牙
  • 患者常見Q&A
  • 衛教項目
    • 回上一頁
    • 牙醫說這個習慣錯了
    • 牙齒的功能
    • 服用骨鬆藥品注意副作用
    • 植牙上顎竇補骨術後注意事項:
    • 矯正治療注意事項
    • 埋伏智齒拔牙後須知
  • 預約門診
    • 回上一頁
    • 聯絡我們
  • Copyright © 2019 MIRACLE

晶鑽全瓷貼片分享2

患者因牙齒咬破,牙周病破壞前來就診,經醫師檢查後,發現患者因牙齒過度磨損導致咬合
高度喪失, 牙齒毀損速度加劇,於是建議患者進行咬合調整、全口重建,患者經評估、考慮
後決定接受治療。連同前牙的美學我們一併考量、設計。

患者原始狀況~~~~~


歷經一年多的治療,成果豐碩。
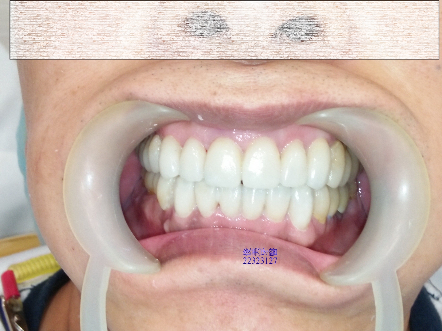
治療完成後 ~~

非常令人滿意與開心,不但重建了患者的咬合功能,也將前牙牙齒原本受損狀況,
以最少的破壞做最完美的修復。
令患者感到滿意。皆大歡喜唷!!
 
回上層

俊美牙醫

地址:台中市北區太原路三段78號
電話:04-22323127
GOOGLE 地圖
歡迎追蹤我們、與我們聯繫,很高興為您服務
粉絲團

FACEBOOK

 
 
Designed by 米洛網頁設計
本站是採用全世界最先進的SSL 256bit 傳輸加密機制
本站是採用SSL 256bit 傳輸加密機制