
患者年約30歲,於門診中表示覺得自己牙齒愈來愈歪,且常常蛀牙,想要矯正,並將蛀牙處理好;經醫師檢查後,
確認患者是因咬合問題,導致牙齒位移,前牙受力愈來愈大,所以牙根開始有萎縮的問題,牙縫常塞東西,所以常
有臨界面的蛀牙產生,却又補不好,常脫落。

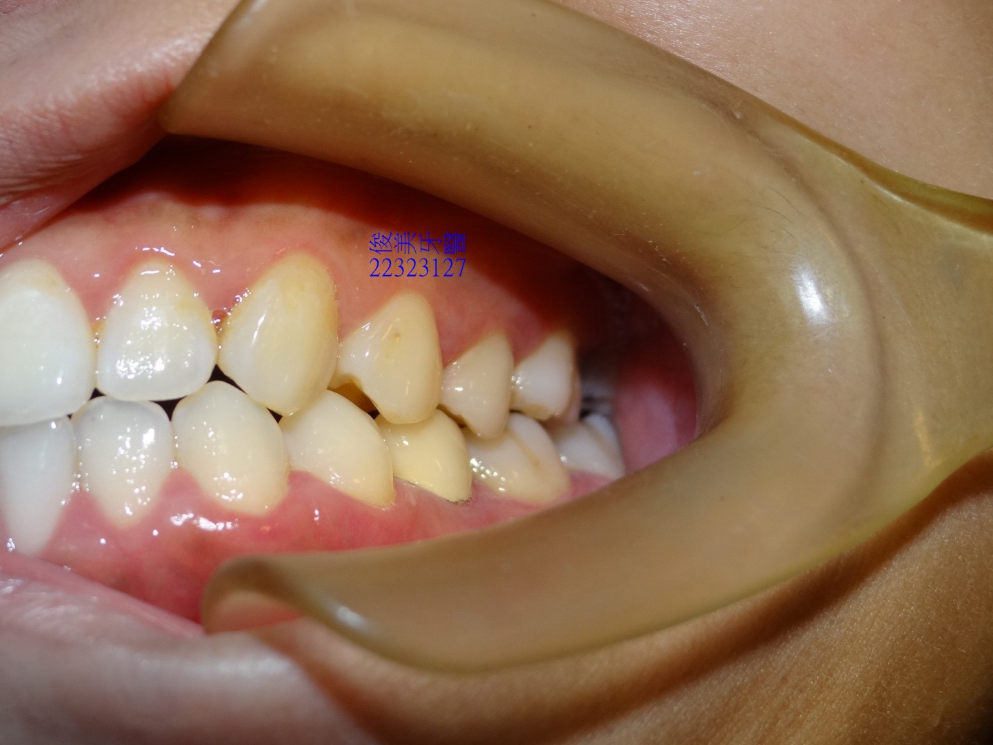
牙齒開始重疊、牙齦會塞東西、發炎......

右邊原始咬合

左邊原始咬合

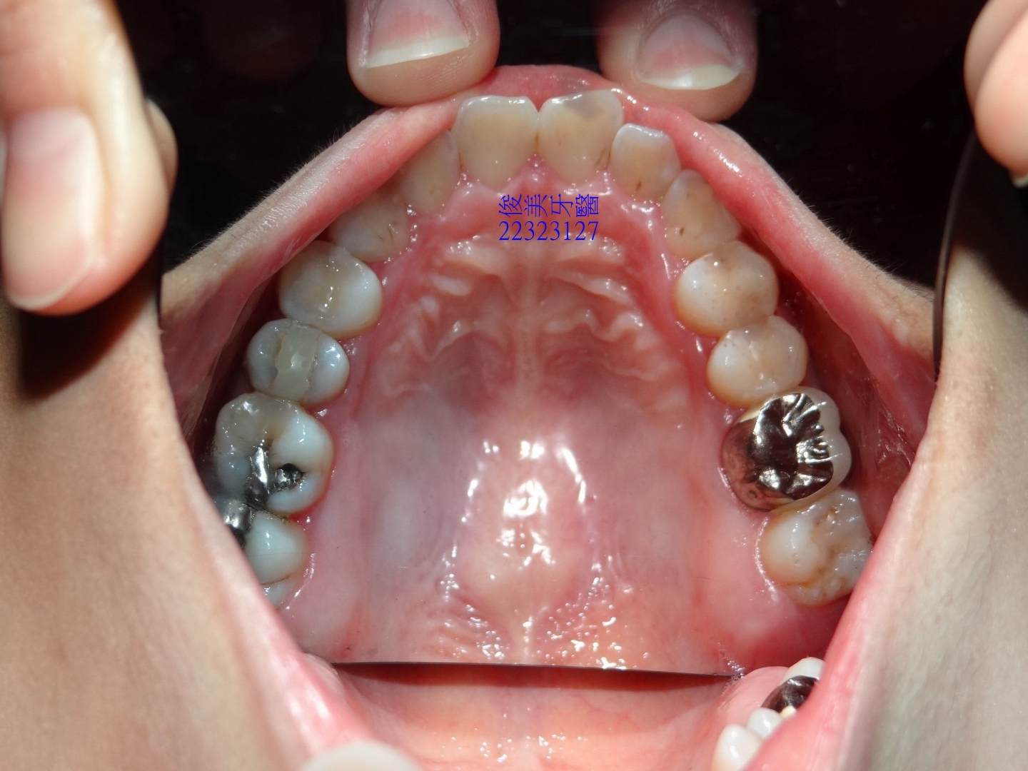
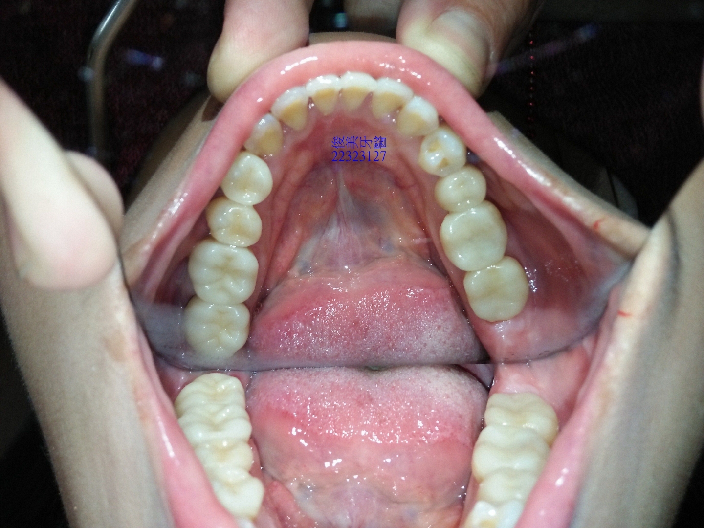
上顎原始 狀況。蛀牙已填補,但無效,牙齦常塞東西,會發炎。

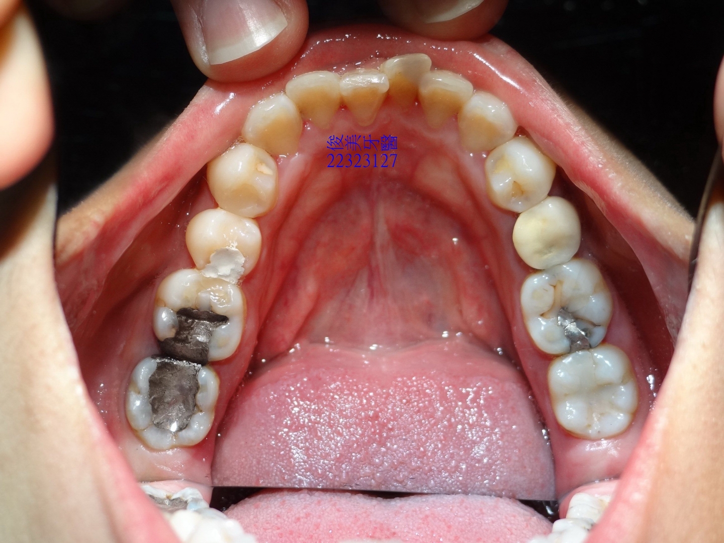
下顎原始狀況。蛀牙皆過大、過深。

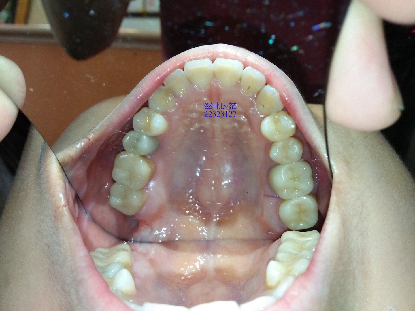
治療完成了,牙根萎縮的狀況已改善,也不再惡化。

側面排列狀況,牙齦也不再發炎了。

蛀牙及假牙牙套已重新以全瓷的材質修復,增加強度及美觀度。

蛀牙及假牙牙套已重新以全瓷的材質修復,增加強度及美觀度及牙齒的完整度。

上顎狀況。

下顎狀況,超完美,目前配戴維持器,定期回診檢查即可。
多令人羨慕的牙齒呀!!

