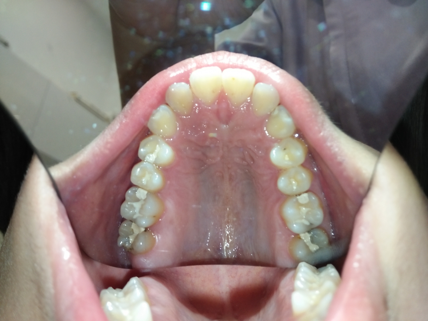
患者年約19歲,於門診中表示要檢查蛀牙,醫師已於之前檢查時告知家長,患者因咬合不正,造成牙縫易塞,容易造成蛀牙及將來
為牙周病的病灶; 家長表示孩子要準備考試,待考試完畢再決定是否做治療??
因此醫師囑咐一定要使用牙線,及沖牙機, 加強牙縫及牙齦周圍的清潔。

時隔不到半年回診,原先蛀牙旳牙齒下方竟然又二度蛀牙了,且患者強調有使用牙線及沖牙機,但這樣情況的牙齒
却不只一顆而已。重複塞東西,重複蛀牙,醫師只能和家長強調:咬合的重要性,因咬合力量不正產生的咬合傷害
會很嚴重, 孩子的牙齒禁不起一蛀再蛀,最糟可能會傷害到牙髓神經。

且口內這樣一直反覆蛀牙的牙齒,為數不少,對牙齒健康非常不利。

因為只是一味的
填補蛀牙而不考慮蛀牙形成原因
為牙周病的病灶; 家長表示孩子要準備考試,待考試完畢再決定是否做治療??
因此醫師囑咐一定要使用牙線,及沖牙機, 加強牙縫及牙齦周圍的清潔。

時隔不到半年回診,原先蛀牙旳牙齒下方竟然又二度蛀牙了,且患者強調有使用牙線及沖牙機,但這樣情況的牙齒
却不只一顆而已。重複塞東西,重複蛀牙,醫師只能和家長強調:咬合的重要性,因咬合力量不正產生的咬合傷害
會很嚴重, 孩子的牙齒禁不起一蛀再蛀,最糟可能會傷害到牙髓神經。

且口內這樣一直反覆蛀牙的牙齒,為數不少,對牙齒健康非常不利。

因為只是一味的
填補蛀牙而不考慮蛀牙形成原因

